脑卒中小型猪模型不同制备方法比较
日期:2025-06-24
来源:华腾生物

缺血性卒中是由于栓塞或原位血栓引起大脑动脉的缺血级联反应,最终导致脑组织的不可逆损伤,是目前危害人类的常见病,具有高发病率、高致残率、高死亡率等特点,大约占脑卒中的80%。利用实验动物建立脑缺血及缺血再灌注模型,模拟人类脑血管疾病,制作最接近人类脑缺血的理想动物模型是人们普遍关注的课题。

 

一个好的卒中动物模型必须具备:(1)可控制缺血的时间、部位及成都;(2)可密切监视或控制与脑缺血或出血相关的因素,如血压、血糖、血气、体温等;(3)可避免其他疾病和脑血管解剖差异性的影响。

 

与啮齿类动物相比,猪大脑解剖结构与人相近似,其灰白质的分布及比例,皮质卷积、形状及新皮层神经元的总数,以及脑形态学发展的演变和神经系统发育的一系列演变也和人脑相似。而且,猪大脑的体积,大小较适合活体动物的诱发电位记录,神经外科手术的操作及影像学检测。因此,以猪作为实验动物对象制作缺血性脑卒中模型较适用于临床前医学研究。

 

造模方法

……

脑缺血模型分为全脑缺血模型和局灶性脑缺血模型,全脑缺血模型是脑血流减少影响到整个大脑或前脑,而局灶性脑缺血是大脑不同区域的血流减少。

 

全脑缺血模型

……

主要有两条血管闭塞法、四血管闭塞法、袖带充气压颈法等。传统的手术法是通过在猪的胸骨上作一个3-4cm大小的切口,分离血管并用动脉夹夹闭双侧颈动脉及右侧锁骨下动脉分支来阻断颈动脉血流,夹闭左侧锁骨下动脉远端和双侧内乳动脉来阻断椎动脉血流,从而造成猪的全脑缺血模型。

应用:与人类常见的脑梗塞情形不一致,仅用于某些特殊领域的研究。

优点:可产生严重的脑缺血,放松动脉夹可再灌注;

缺点:成功率低,动物死亡率高,模型稳定性差。

 

局灶性缺血模型

……

(一) 大脑中动脉闭塞模型(Middle cerebral artery occlusion, MCAO) 

大脑中动脉是人类脑卒中的多发部位。其中大鼠MCAO模型应用最为广泛,也是与卒中最相关的动物模型之一。目前仍普遍认为MCAO模型是局灶性脑缺血的标准动物模型。小型猪MCAO模型建立方法:经额颞入路或经眶入颅,分离并电凝大脑中动脉及其分支而形成局灶性脑缺血,以大脑皮质和尾状核缺血最明显。

应用:适用于脑缺血后长期的神经功能缺损及介入治疗和康复策略的研究。

优点:(1)直视下操作,梗死成功率高,是目前获得梗死灶最可靠、缺血效果最好的MCAO模型;

(2)实验条件较恒定,缺血效果可靠。

缺点:(1)外科手术要求高,开颅创伤大,容易造成颅内压的变化;

(2)潜在的脑脊液漏形成。感染概率大;

(3)手术过程中容易导致大脑水肿或大脑氧化,影响实验结果;

(4)无法行再灌注术。

 

小型猪脑部血管示意图

 

(二) 介入法堵塞动脉模型

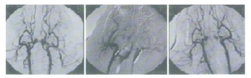
动脉结扎模型是最常用的脑缺血制作模型。随着介入技术的发展,采用介入法经导管把猪自身的血制成新鲜的血栓或者气囊阻断小型猪双侧咽升动脉建立脑缺血模型。具体造模方法如下:经股动脉穿刺插入导管,沿导管插入2个冠脉球囊到达左右咽升动脉,打开球囊堵塞双侧咽升动脉阻断大脑供血。堵塞45min后撤出球囊,行在灌注术。

优点:(1)不需要开颅,避免了开颅造模引起的颅内环境改变或颅内感染;

(2)可在灌注,模拟了人类永久性及短暂性局灶性脑缺血的不同状态;

(3)能对缺血及再通时间进行准确控制,便于分析神经元的缺血敏感性及耐受性,评价在灌注作用以及治疗时间的选择;

(4)手术难度相对较小,死亡率和术后并发症发生低。

缺点:缺血部位不恒定,模型重复性差。

DSA介入堵塞小型猪双侧咽升动脉前(左)、阻断期(中)、再通0.5h(右)

 

(三)脉络膜前动脉闭塞模型

脉络膜前动脉来源于颈内动脉,供应内囊后肢和后外侧白质,该部分通过膝距束纤维。脉络膜前动脉闭塞的全部症状主要包括对侧偏瘫、偏身感觉障碍(偏身感觉减退)和偏盲。但是,该部分的血液供应还来源于MCA 深穿支、后交通动脉和脉络膜后动脉,可以出现轻微局灶性神经功能缺失的症状,通常恢复较快。脉络膜前动脉的血栓通过来源于血管的原位血栓形成,颈内动脉动脉瘤外科夹闭术过程中该血管容易受损导致医源性闭塞。

应用:适用于探讨脑和脊髓白质损伤的细胞机制,缺血后期运动功能障碍康复的研究。

优点:(1)直视下操作,梗死成功率高;

(2)实验条件较恒定,缺血效果可靠。

缺点:(1)外科手术要求高,开颅创伤大;

(2)容易引起脑脊液漏,损伤脑组织,感染概率大;

(3)无法再灌注等。

脉络膜前动脉分布示意图

 

各种猪脑缺血模型各有利弊,在实际应用时根据不同的目的选择最适合的方法,同时应注意对动物病理生理、生物化学、形态学、神经行为学等的监控,这是建立标准化脑缺血动物模型的前提和基本条件。

 

参考文献

[1] DOI:10.3969/j.issn.1006-351X.2007.05.019.

[2] DOI:10.3969/j.issn.1672-6170.2013.02.062.

 

文章推荐
优惠活动
在线留言
选择服务
药物临床前CRO服务
医疗器械临床前评价
科研服务
第三方检测服务
实验室平台
您的姓名 *
您的电话 *
您的公司 *
您的邮箱
您的职位
贵司产品
需求描述 *
请输入验证码
captcha